21.8 C
Campo Grande
sexta-feira, 14 de novembro, 2025
spot_img

Estudo reforça relação do vírus zika com casos de microcefalia

20/09/2016 07h30

Estudo reforça relação do vírus zika com casos de microcefalia

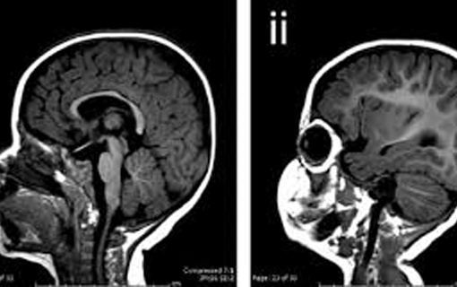
Novo estudo científico reforça a relação do vírus zika com a epidemia de microcefalia registrada no Brasil em 2015. O trabalho examinou crianças nascidas com microcefalia e sem a malformação e concluiu, por exames laboratoriais, que a infecção pelo vírus zika tem conexão direta com os casos de crianças com microcefalia.

Publicado na revista científica The Lancet, o estudo traz, pela primeira vez, resultado preliminar de um trabalho de caso-controle realizado no Brasil. “Esta análise preliminar mostra uma forte associação entre microcefalia e confirmação laboratorial de infecção pelo vírus zika”, escrevem os autores.

O estudo reforça a relação já reconhecida pelo governo brasileiro desde novembro de 2015, entre a zika e a ocorrência de microcefalia em bebês cujas mães foram infectadas pelo vírus. O Brasil é pioneiro no estudo da relação do vírus zika com a microcefalia e conta com parceiros nacionais e internacionais nas investigações, como parte do esforço mundial para as descobertas relacionadas à doença.

Entre as recomendações dos pesquisadores, está o alerta às autoridades de saúde em todo o mundo para o risco de uma epidemia global de microcefalia e outras complicações ligadas ao vírus. De acordo com a Organização Mundial da Saúde (OMS), o vírus zika já foi detectado em 61 países, a maioria deles nas Américas.

A pesquisa teve a participação de um grupo de pesquisadores de diversas instituições, como Fundação Oswaldo Cruz Pernambuco (Fiocruz/CPqAM), Instituto de Medicina Integral Professor Fernando Figueira (IMIP), Universidade Federal de Pernambuco, Fiocruz Brasília, Secretaria de Estado de Saúde de Pernambuco, London School of Hygiene & Tropical Medicine e Organização Pan-Americana da Saúde/Organização Mundial da Saúde (OPAS/OMS).

Agência CNM com informações do Ministério da Saúde

Estudo reforça relação do vírus zika com casos de microcefalia

Fale com a Redação