12/12/2016 11h00
Membros mumificados encontrados podem pertencer à Nefertari, esposa de Ramsés, o Grande
Jornal Ciência
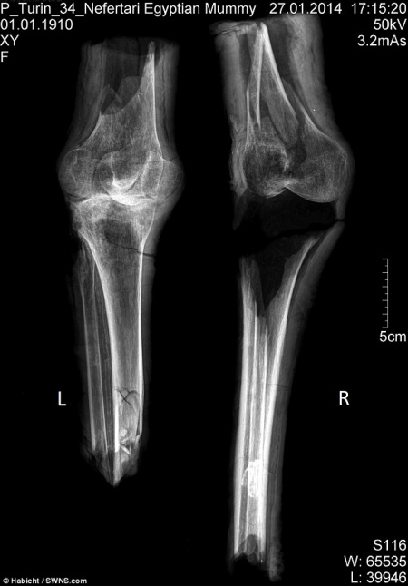
Especialistas encontraram um par de pernas em uma tumba egípcia e finalmente parecem ter descoberto sua origem. Encontrados durante escavações no Vale das Rainhas há mais de um século, os membros mumificados ficaram guardados em um museu de Turim.
Os arqueólogos que analisam os restos com mais de 3.000 anos, acreditam que eles poderiam pertencer à rainha Nefertari, esposa do faraó Ramsés, o Grande. Em 1904, arqueólogos italianos escavaram o túmulo da rainha Nefertari – considerada a esposa favorita de Ramsés II, mais poderoso faraó do Império. Entre as ruínas da tumba saqueada, eles recuperaram três pernas mumificadas.
Mas uma nova análise realizada por uma equipe internacional, incluindo pesquisadores da Universidade de York, usou técnicas científicas modernas para confirmar a identidade das pernas. Os investigadores concluíram que as pernas pertencem a uma mulher de meia-idade, que media cerca de 1,65 m de altura que pode ter tido artrite.
Segundo especialistas, a pessoa devia ter entre 40 e 60 anos quando morreu – mesma faixa etária de Nefertari. De acordo com um artigo publicado pela revista PLoS ONE, “’o cenário mais provável é que os joelhos mumificados realmente pertençam à rainha Nefertari”, afirmam os cientistas.
Usando análises químicas, datação por radiocarbono e análise de DNA, eles descobriram que o bálsamo usado no processo de mumificação condizia com o utilizado durante o reinado de Ramsés. As evidências sugerem que as pernas pertencem à Nefertari e não a suas filhas – que foram enterradas no mesmo túmulo.
Historiadores contam que Nefertari foi a esposa favorita de Ramsés II, por isso teve um túmulo ornamentado. Os arqueólogos acreditam que ela desempenhou um papel importante nos assuntos externos de Ramsés, que viveu 1303-1213 a.C., entretanto, sua origem é desconhecida. Os pesquisadores acreditam que deu à luz a quatro filhos e morreu tempos depois, com aproximadamente 40 anos.
Dr. Stephen Buckley e professor Joann Fletcher do Departamento de Arqueologia da Universidade de York foram fundamentais para a análise química dos restos mortais. “Estamos razoavelmente confiantes dada toda a evidência”, disse Dr. Buckley. “A localização de seu túmulo faz com que a probabilidade de outra múmia real ter sido acidentalmente levada para ele seja praticamente nula”, concluiu.
“Ambos [Dr. Buckley] e eu temos uma longa história de estudo das múmias reais do Egito, e as provas que conseguimos reunir nos mostram que Nefertari não só foi uma grande rainha e que esse era seu túmulo, mas realmente nos permite adicionar outra peça no quebra-cabeças da mumificação egípcia”, relatou Fletcher. “Este foi o projeto mais emocionante de fazer parte, e um grande privilégio estar trabalhando ao lado com alguns dos principais especialistas do mundo nesta área”, completou.
“Nós só podemos supor que ladrões de tumbas tenham separado o corpo dos cadáveres enquanto procuraram amuletos de ouro e prata dentro dos invólucros. Pensamos isso porque só os joelhos mumificados sobreviveram. O resto do seu corpo permanece um mistério”, disse Fletcher.






















